MoxiePlex マルチスペクトラルイメージングシステム
MoxiePlex® マルチスペクトラルイメージングシステムは、多重蛍光染色された組織サンプル全体を高速かつ簡単に画像取得するシステムです。空間プロテオミクスのワークフローを支援し、創薬研究におけるトランスレーショナルリサーチを加速させます。
MoxiePlexは、浜松ホトニクス株式会社の登録商標です。
MoxiePlexは、ガラススライド上の多重蛍光サンプル全体に対して、最大で9 色の蛍光イメージングが可能です。各色、16bitの出力が可能なため、画像解析時に重要となる高い定量性を有する高精細な画像を取得できます。さらに検出器には、400 nm ~900 nmの波長域に対して高い量子効率を持つ自社開発のカメラを採用しているため、蛍光試薬の選択の幅が広がり、蛍光強度の低いバイオマーカーの応答も検出することが可能です。
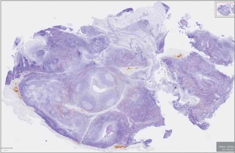
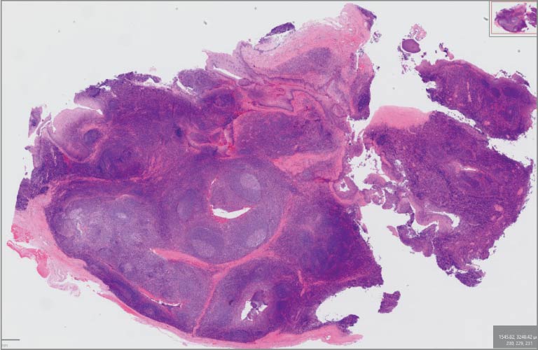
ビューアソフト上で明視野画像と蛍光画像を並べて表示することが可能です。高解像度にHE染色、免疫組織化学(IHC)染色、特殊染色された組織サンプルを撮影できるため、組織形態も含めた包括的な観察・解析ができます。
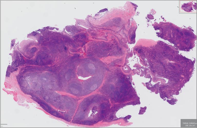
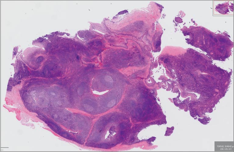
HE染色
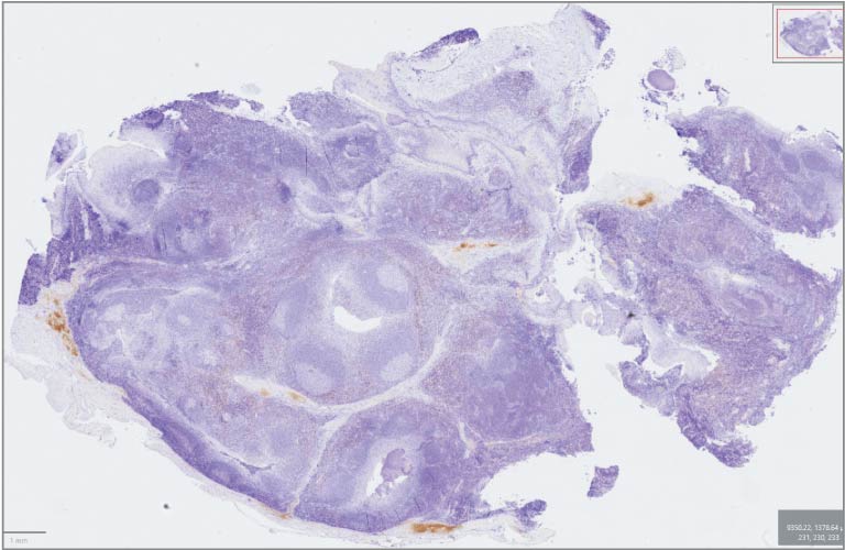
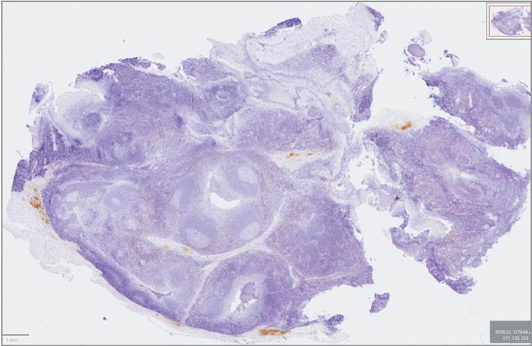
IHC染色
従来の測定フローでは、解析を完了するまでの工程における設定を手動で行うことが多く、一定の工数と時間を要します。MoxiePlexは独自の蛍光光学系技術やアルゴリズムにより、サンプルの認識、スキャン範囲の設定、フォーカス位置の設定、露光時間の算出を自動化することができます。これにより、手動による設定作業の工数削減だけでなく、同一条件で測定を繰り返し行う際の再現性向上に貢献します。またこれらを手動で設定することも可能なため、工数を削減したい場合は自動で測定し、自由に設定したい場合は手動で測定することができます。
組織サンプル全体を蛍光イメージングすることで、明視野では検出が難しい組織サンプルを認識し、スキャン範囲を自動で設定します。同時に露光時間を自動算出※することで、蛍光画像の取得も自動で行うことができます。
※特許出願中
本記事は、世界的な科学雑誌『Nature』のWEBサイトに掲載された対談記事です。対談では、Carlo Bifulco氏 (Providence Genomics)、David Rimm氏(Yale University)、Don Ariyakumar氏(HAMAMATSU CORPORATION)が、がん細胞やその周辺のタンパク質を詳細に解析する「空間プロテオミクス」の臨床応用や、MoxiePlexの特長、がん診断・治療への貢献について、それぞれの視点から語っています。
本動画は、2025年11月にアメリカで開催された国際学会「Society for Immunotherapy of Cancer(SITC)」で発表されたセッションのアーカイブです。ディスカッションには、Providence Genomicsの最高責任者でありEARCRIの分子病理学ディレクターであるCarlo Bifulco氏と、Spatiomics社の事業開発責任者兼副社長を務めるXiaoshan Wang氏が登壇し、空間プロテオミクスの進歩と、それが肺がんの診断・治療の革新にもたらす影響について、ビジネスと研究の両面から見解を述べています。
1:40~|Maximizing Diagnostic Power from Limited Lung Cancer Tissue
Carlo Bifulco, MD – Chief Medical Officer at Providence Genomics | Director of Translational Molecular Pathology at the Earle A Chiles Research Institute
34:43~|Breaking the Multiplex Barrier with CFP™ Cleavable Tyramide Technology
Xiaoshan Wang – Spatomics
| 製品名 | MoxiePlex マルチスペクトラルイメージングシステム | |
|---|---|---|
| 型名 | C16919-01 | |
| カセットローダ | 60枚 | |
| 対象試料 | 75.0 mm ~ 76.0 mm × 25.0 mm ~ 26.0 mm / 厚さ:0.9 mm ~ 1.2 mm |
|
| 対物レンズ | 20× NA 0.8 |
|
| スキャン解像度 | 20倍モード | 0.46 μm/pixel |
| 40倍モード | 0.23 μm/pixel | |
| 明視野スキャン時間 | 20倍モード | 約60秒(15 mm × 15 mm) |
| 40倍モード | 約70秒(15 mm × 15 mm) | |
| 蛍光スループット ※1 | 20倍モード | 約12分(15 mm × 15 mm、5色) |
| 40倍モード | 約14分(15 mm × 15 mm、5色) | |
| 蛍光撮影用カメラ | 当社製CMOSカメラ | |
| Z-スタック機能 | 有 | |
| 画像フォーマット | OME-TIFF (16 bit、8 bit)、NDPI(8 bit) | |
| 電源 | AC 100 V ~ AC 240 V | |
| 消費電力 | 約 180 VA | |
※1 蛍光スループット:ガラススライドのロード~マクロ撮影~プレフォーカス5点~スキャン~イメージプロセッシング~ガラススライドのアンロードまでの時間を指す
It looks like you're in the . If this is not your location, please select the correct region or country below.
You're headed to Hamamatsu Photonics website for JP (Japanese). If you want to view an other country's site, the optimized information will be provided by selecting options below.
In order to use this website comfortably, we use cookies. For cookie details please see our cookie policy.
This website or its third-party tools use cookies, which are necessary to its functioning and required to achieve the purposes illustrated in this cookie policy. By closing the cookie warning banner, scrolling the page, clicking a link or continuing to browse otherwise, you agree to the use of cookies.
Hamamatsu uses cookies in order to enhance your experience on our website and ensure that our website functions.
You can visit this page at any time to learn more about cookies, get the most up to date information on how we use cookies and manage your cookie settings. We will not use cookies for any purpose other than the ones stated, but please note that we reserve the right to update our cookies.
For modern websites to work according to visitor’s expectations, they need to collect certain basic information about visitors. To do this, a site will create small text files which are placed on visitor’s devices (computer or mobile) - these files are known as cookies when you access a website. Cookies are used in order to make websites function and work efficiently. Cookies are uniquely assigned to each visitor and can only be read by a web server in the domain that issued the cookie to the visitor. Cookies cannot be used to run programs or deliver viruses to a visitor’s device.
Cookies do various jobs which make the visitor’s experience of the internet much smoother and more interactive. For instance, cookies are used to remember the visitor’s preferences on sites they visit often, to remember language preference and to help navigate between pages more efficiently. Much, though not all, of the data collected is anonymous, though some of it is designed to detect browsing patterns and approximate geographical location to improve the visitor experience.
Certain type of cookies may require the data subject’s consent before storing them on the computer.
This website uses two types of cookies:
This website uses cookies for following purposes:
Cookies help us help you. Through the use of cookies, we learn what is important to our visitors and we develop and enhance website content and functionality to support your experience. Much of our website can be accessed if cookies are disabled, however certain website functions may not work. And, we believe your current and future visits will be enhanced if cookies are enabled.
There are two ways to manage cookie preferences.
If you don’t want to receive cookies, you can modify your browser so that it notifies you when cookies are sent to it or you can refuse cookies altogether. You can also delete cookies that have already been set.
If you wish to restrict or block web browser cookies which are set on your device then you can do this through your browser settings; the Help function within your browser should tell you how. Alternatively, you may wish to visit www.aboutcookies.org, which contains comprehensive information on how to do this on a wide variety of desktop browsers.
Occasionally, we may use internet tags (also known as action tags, single-pixel GIFs, clear GIFs, invisible GIFs and 1-by-1 GIFs) at this site and may deploy these tags/cookies through a third-party advertising partner or a web analytical service partner which may be located and store the respective information (including your IP-address) in a foreign country. These tags/cookies are placed on both online advertisements that bring users to this site and on different pages of this site. We use this technology to measure the visitors' responses to our sites and the effectiveness of our advertising campaigns (including how many times a page is opened and which information is consulted) as well as to evaluate your use of this website. The third-party partner or the web analytical service partner may be able to collect data about visitors to our and other sites because of these internet tags/cookies, may compose reports regarding the website’s activity for us and may provide further services which are related to the use of the website and the internet. They may provide such information to other parties if there is a legal requirement that they do so, or if they hire the other parties to process information on their behalf.
If you would like more information about web tags and cookies associated with on-line advertising or to opt-out of third-party collection of this information, please visit the Network Advertising Initiative website http://www.networkadvertising.org.
We use third-party cookies (such as Google Analytics) to track visitors on our website, to get reports about how visitors use the website and to inform, optimize and serve ads based on someone's past visits to our website.
You may opt-out of Google Analytics cookies by the websites provided by Google:
https://tools.google.com/dlpage/gaoptout?hl=en
As provided in this Privacy Policy (Article 5), you can learn more about opt-out cookies by the website provided by Network Advertising Initiative:
http://www.networkadvertising.org
We inform you that in such case you will not be able to wholly use all functions of our website.
Close